Давать ли таблетки?
Если боль не вызвана серьезным заболеванием или органическим поражением, дают ребенку небольшую дозу аскорбиновой кислоты или теплый чай с лимоном. Расслабляющее действие на сосуды оказывает отвар пустырника и валерианы.
Если цефалгия проявляется вместе с кишечными симптомами, не забывайте о риске обезвоживания – необходимо дать ребенку небольшими порциями теплую воду или раствор регидрона. Шоколад противопоказан – он способен усилить мигрень.
Доставая таблетки из домашней аптечки, следует помнить, что при температуре и головной боли детям разрешены только парацетамол, оказывающий жаропонижающее действие, и нестероидные противовоспалительные препараты с ибупрофеном
Однако и их следует давать с большой осторожностью, помня о риске передозировки. Обычно перечисленные меры эффективны
Но если это не так, консультация специалиста необходима.
Тревогу у родителей должна вызывать мигрень и рвота у ребенка. Еще один крайне опасный симптом – усиление боли при попытке изменить положение тела, шум в ушах, спутанное сознание (бред, галлюцинации, нарушение координации движений). Это поводы для незамедлительного вызова скорой медицинской помощи.
Существует 6 типов головных болей:
- Мышечного напряжения
- Сосудистая
- Невралгическая
- Ликвородинамическая
- Функциональная или психалгия
- Смешанная
Перед вами интересная табличка, основанная на статистических данных амбулаторных обращений к детскому неврологу нашей клиники.
Обратите внимание на то, что жалобы на головные боли появляются у детей в предшкольном возрасте, с последующим увеличением.
Возраст/ Нозология | 0-1 год | 1-3 года | 4-7 лет | 8-10 лет | 11-14 лет | 15-17 лет |
Головные боли неуточненные | 7% | 9% | 16% | 18% | ||
Головные боли напряженного типа | 3% | 12% | 18% | 24% | ||
Сосудистая головная боль | 0.3% | 0.8% | 2% | 10% | 18% | |
Мигрень | 1% | 1% | 1% | 1% | ||
Функциональная, в том числе на фоне церебрастении | 2% | 4% | 6% | 9% |
2. Сосудистая головная боль
это боль в ответ на растяжение или воспаление сосудистой стенки. Причин может быть множество, от аномалий сосудов, до банальной сосудистой дистонии. Мигрень также относится к типу сосудистой головной боли, имеет характерные клинические проявления, а её причиной является асептическое воспаление сосудистой стенки.
3.Невралгическая головная боль
возникает при давлении на ствол нерва, его веточку или узел, а вслед за компрессией возникает ишемия и болезненность. Причиной этого может служить посттравматический или воспалительный отек по ходу нерва, а так же любое объёмное образование. Невралгическая головная боль может быть и центрального генеза, в результате нарушения функции ноцицептивной и антиноцицептивной системы головного мозга.
4. В возникновении ликвородинамической головной боли
основную роль играет повышение внутричерепного давления. Внутричерепное давление может повышаться при появлении дополнительных образований, как жидкостных, так и плотных, в полости черепа, что в свою очередь сдавливает и/или смещает мозговые оболочки, сосуды и нервы, давая болевой синдром. Это может быть опухоль, воспаление мозговых оболочек головного мозга (менингит). Так же внутричерепная гипертензия может возникнуть в результате появления какого-либо новообразования, препятствующего оттоку ликвора из полости черепа.
6. Смешанная форма, имеет смешанное происхождение.
Мы с вами проанализировали шесть типов головной боли, которые, в свою очередь, имеют различные причины возникновения.
Чтобы разобраться, что именно вызывает головную боль у вашего ребенка, необходимо обратиться к детскому неврологу, который после неврологического осмотра примет решение, нужна ли вам консультация смежного специалиста и, возможно, назначит дополнительные методы обследования.
В детском корпусе клиники вы сможете получить консультации опытных специалистов, а также провести все необходимые обследования для выявления причин головной боли у ребенка.
Информацию для Вас подготовила:

Разина Елена Евгеньевна – врач детский невролог, эпилептолог, врач функциональной диагностики, ведущий специалист клиники. Ведет прием в Детском корпусе на Усачева.
Основные причины головной боли
- синусит, отит, менингит, невралгия тройничного нерва;
- опухоль мозга, повышенное ВЧД, псевдоопухоль мозжечка;
- последствия натальной травмы шейного отдела позвоночника;
- мигрень, головные боли напряжения;
- психогенные: депрессия, страх.
Головная боль отмечается почти при любом неблагополучии в организме. Как правило, головная боль беспокоит при острых и хронических интоксикациях, обусловленных инфекциями и паразитозом; хронической гипоксии, вызванной анемией, патологией легких и сердца, метаболическими нарушениями; воспалительных заболеваниях носовых пазух). В этих случаях симптом головной боли сочетается с другими симптомами болезни (наличие тяжелого соматического заболевания, клиника инфекционного процесса й т. д.), при выздоровлении проходит и головная боль. Нередко причиной головной боли является нарушение рефракции, аккомодации.
Около 5% случаев голодной боли обусловлено органическим поражением головного мозга, патологией сосудов головного мозга. Обследование в первую очередь направлено на выявление этой патологии.
Особого внимания врача заслуживает остро возникшая интенсивная головная боль, сопровождающаяся менингеальными симптомами (светобоязнь, рвота, гиперакузия, ригидность затылочных мышц, симптомы Кернига, Брудзинского, вынужденное положение — запрокидывание головы и т. д.). В этих случаях необходимо проводить дифференциальный диагноз между нейроинфекцией, объемным процессом головного мозга, субарахноидальным кровоизлиянием.
Головная боль, связанная с повышением внутричерепного давления (при объемном процессе головного мозга, декомпенсации гидроцефалии), отмечается в ночное или утреннее время, нередко сопровождается рвотой на высоте боли, усиливается при кашле, чихании, нередко усиливается в горизонтальном положении, не проходит после сна.
Мигренозные головные боли, встречающиеся у детей и подростков нередко, характеризуются приступами продолжительностью 12-24 ч, интенсивной пульсирующей головной болью одно- или двусторонней лобно-височной или глазничной локализации, с аурой или без, сопровождающейся свето- и звукобоязнью, тошнотой и рвотой. Мигренозный приступ проходит после сна. Нередко отмечается семейная отягощенность.
Внутричерепная травма всегда сопровождается головной болью в острый период и, нередко, в течение некоторого времени после травмы.
Лицевые боли обусловлены воспалительным процессом в носовых пазухах, поражением тройничного нерва, могут быть одонтогенного характера.
У детей с нарушением осанки, нестабильностью шейного отдела позвоночника, ранним шейным остеохондрозом отмечают головные боли мышечного напряжения и боли, обусловленные раздражением верхних шейных корешков спинного мозга. Боль локализуется преимущественно в шейно-затылочной области, может распространяться в лобно-височную область, плечо и руку, возникает при длительном вынужденном положении (работа на компьютере, просмотр телепередач, неудобная поза во время сна и т. д.).
Нередко головная боль обусловлена изменениями артериального давления, утомлением, дефицитным питанием, недосыпанием, волнениями, изменениями метеоусловий. Чаще такая боль отмечается в височных отделах.Неврозы, соматоформные расстройства часто сопровождаются головной болью, при истерии отмечают «выгодность» данного недомогания.
Монотонная боль и жжение в глазу, за глазом, в орбите. Раздражение вегетативных узлов и нервов лица, отраженные боли в области глаз
Один из частых вариантов боли в глазах – это боль, отраженная из связанных с глазами нервных узлов и сплетений. Такая боль всегда имеет конкретный источник и обычно быстро проходит после устранения причины.
На что жалуются наши пациенты при таком варианте боли в глазах:
- Болят глаза и голова, лоб, тошнит при появлении головной боли;
- Больно смотреть, боль монотонная, ломящая, давящая или жгучая, нарастает при напряжении глаз, а также после сна;
- На лице, шее, в области виска, вокруг орбиты глаза можно нащупать одну или несколько болезненных точек, расположенных в мягких тканях, в т.ч. мышцах лица;
- Бывают жжение в глазах и боль при моргании без явных признаков воспаления;
- Может быть (не всегда) повышенная чувствительность при касании пальцами кожи лица, головы или шеи в некоторых зонах (орбитальная область, лоб, висок, носогубная складка, область шеи над грудино-ключичным суставом).
Несколько случаев отраженной боли в глазных яблоках из нашей практики

У мужчины, страдавшего постоянной жгучей и ломящей болью в правом глазу мы обнаружили выход крупного фрагмента пломбировочного материала за верхушку зуба (фрагменты белого цвета обозначены стрелкой). Боль появилась спустя 1,5 года после лечения у стоматолога и распространялась в область глаза по 2 ветви тройничного нерва. Зубная боль, как таковая, не наблюдалась. Боли прекратились после противовоспалительного лечения и адекватного стоматологического пособия.
Компьютерная томография
Болят глазные яблоки при движении. Такая ситуация у девушки была спровоцирована воспалением и полипом гайморовой пазухи, у границы пазухи с орбитой глаза. 1 – орбита левого глаза (вид спереди). 2 – полип гайморовой пазухи. Воздух в пазухах носа на КТ выглядит черным. Лечение инфекции и аллергического насморка (аллергия на плесневые грибы) помогло устранить боль в глазу.
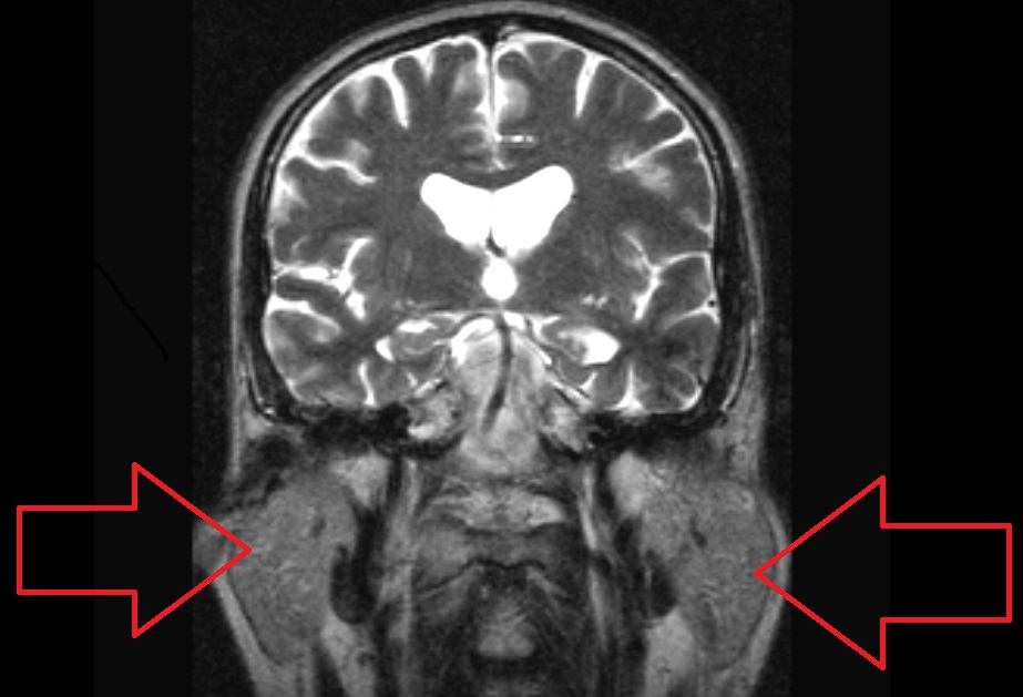
Выраженное воспаление и припухлость слюнных желез у мужчины провоцировало головную боль в области лба и глаз, жжение и зуд в глазах. Болезнь Шегрена не была подтверждена. Улучшение наступило после лечения воспалительного процесса слюнных желез. На МР-томограмах видны увеличенные слюнные железы.
Нервное напряжение как причина боли
Когда ребенок подвергается стрессу, у него развивается нервное или психо-эмоциональное напряжение, вследствие которого он чувствует головную боль. Мышцы и сосуды способны расслабляться и сокращаться, и, если это происходит очень быстро, появляется болевой симптом.
Продолжительность такой боли индивидуальна и в некоторых случаях может продолжаться достаточно долго, в течение нескольких дней, а иногда и до недели. Ребенок ощущает сильное давление на голову, словно ее сжимают металлические кольца. При этом, он остается таким же активным, потому что боль больше влияет на способность учиться.
Физические нагрузки не влияют на появления боли. Когда наступает пик приступа, ребенок может почувствовать тошноту, у него пропадет аппетит, появиться негативная реакция на яркий свет или сильный звук. Также боль мучает ребенка, если он некомфортно сидит за партой на уроках – это так называемые школьные боли.
Первичная головная боль. Основные заболевания.
Наиболее часто встречаются такие формы первичной головной боли как «боль напряжения» и мигрень, более редко – кластерная головная боль и другие формы.
Головная боль напряжения (ГБН) может возникнуть у каждого человека. Это самая распространённая форма головной боли, её часто характеризуют как «нормальную» или «обычную» головную боль. Приступы могут продолжаться от 30 минут до нескольких дней. Частота приступов у разных людей различна, она также может варьироваться и у одного человека в различные периоды его жизни. Боль описывается как сдавливающая, сжимающая голову по типу обруча или тесной шапки, как правило, двусторонняя, умеренная. У некоторой части людей она может стать хронической (хроническая боль диагностируется в том случае, если дней с головной болью больше, чем без неё). Человек, испытывающий хроническую головную боль, становится раздражительным. Могут наблюдаться слабость, высокая утомляемость, снижение аппетита, нарушения сна. Причиной ГБН является физическое напряжение мышц и связок головы и шеи – так называемый «мышечный стресс», который может быть следствием, например, работы в неудобной позе. ГБН часто возникает у тех, кто работает за компьютером или чья работа связана с необходимостью вглядываться в детали (ювелиры, часовщики, сборщики электронной аппаратуры, мастера художественной вышивки и т.п.). Значение имеет и эмоциональный фактор: эмоциональное напряжение, вызванное стрессом или состоянием повышенной тревожности, также может привести к возникновению боли.
Мигрень характеризуется сильными и мучительными приступами головной боли, которые часто сопровождаются тошнотой (а в некоторых случаях – рвотой), а также непереносимостью света и звуков. Меняется восприятие запахов, нарушаются тепловые ощущения. Приступы мигрени длятся от 4-х часов до 3-х суток и могут повторяться с частотой от 1-2 раз в год до нескольких раз в месяц. В течение приступа могут наблюдаться так называемые «предвестники» – раздражительность, подавленность, усталость, возникающие за несколько часов или даже дней до начала боли. В трети случаев боли предшествуют явления, получившие название «ауры»: за 10-30 минут до приступа могут быть зрительные нарушения (слепые пятна, вспышки, зигзагообразные линии перед глазами), покалывание и онемение, начинающееся с кончиков пальцев и распространяющееся вверх по телу и др.
Предрасположенность к мигрени является врожденной и связана с нарушениями в структурах головного мозга, отвечающих за проведение боли и других ощущений. Мигренью страдает каждый седьмой взрослый, при этом женщины – в три раза чаще мужчин. У девочек мигрень начинается, как правило, в период полового созревания.
Факторы, способствующие развитию приступов мигрени: хроническая усталость, состояние тревоги или стресс, у женщин – менструация, беременность и менопауза.
Но предрасположенность к приступам ещё не означает, что приступ обязательно случится. Есть факторы, которые выступают «спусковым механизмом» приступа. Спровоцировать приступ могут: пропуск приема пищи, недостаточный объём потребляемой жидкости, некоторые продукты, нарушения режима сна, физические нагрузки, перемена погоды, резкая смена эмоций.
Кластерная (или пучковая) головная боль характеризуется односторонней резкой («кинжальной» или «сверлящей») болью. Интенсивность боли стремительно нарастает в течение 5-10 минут, а сам приступ длится от 15 минут до 3-х часов, в течение которых больной не может найти себе места. Боль, как правило, локализуется в области глаза, при этом глаз может покраснеть и слезиться. Повторяющиеся приступы образуют кластер (то есть следуют друг за другом), продолжительность кластера составляет от 6 до 12 недель. Такая форма боли встречается у мужчин в пять раз чаще, чем у женщин. При этом ей более подвержены те, кто много курит или курил в прошлом.
Почему у ребенка болит голова в области темечка
В зависимости от причины головная боль может локализоваться в определённой области или охватывать всю голову. Характер ощущений также может быть разным, равно как и их периодичность. Одной из наиболее изматывающих считается головная боль в темени.
Темя представляет собой часть поверхности головы, расположенную между затылком и лбом, т. е. сверху.
Стоит отметить, что от головной боли в области темени не застрахован никто. Она может появиться даже у ребёнка. Если болит темечко, то характер боли может быть разным. Может присутствовать ощущение сдавливания, распирание изнутри, иногда — даже покалывания. Нередко болевые симптомы могут носить пульсирующий характер или ирадиировать в уши или зрительный нерв.
Причины, по которым болит теменная часть головы. могут быть самыми разными. Наиболее распространённой считается повышенное внутричерепное давление, однако она не является единственной.
Причины боли в теменной части головы
Как уже упоминалось, причины головной боли в области темени могут быть разными, но некоторые из них встречаются чаще всего и имеют похожие проявления.
Боли в темени вследствие напряжения
Если болит темечко головы. то причина может крыться в напряжении, которое возникает из-за длительного пребывания в неудобном положении, без необходимого движения и при недостаточном уровне освещения. Профессиональные боли в темени возникают по причине того, что рабочее место не соответствует эргономическим стандартам.
Болевые ощущения имеют тупой, давящий, сжимающий характер. При них создаётся ощущение, будто на голову надет тесный шлем.
Боли в темени вследствие неврозов
Более 50% жалоб на боли в теменной области принадлежат больным с неврозами. Они могут быть как постоянными, так и периодическими, отличаться по интенсивности и сопровождаются:
- паническими атаками;
- переживаниями;
- эмоциональной нестабильностью.
В случае если болевая симптоматика дополняется головокружением и онемением рук и ног, необходимо срочно обратиться за врачебной помощью.
Боли в темени после травм
Даже несущественные черепно-мозговые травмы могут стать причиной боли в темени. Она может быть обусловлена следующим:
- нарушение движения спинномозговой жидкости;
- защемление нервных корешков;
- поражение оболочек мозга.
«Спутниками» болевой симптоматики в данном случае являются:
- снижение работоспособности;
- ухудшение памяти;
- сложности с концентрацией внимания
- Боли в темени вследствие заболеваний сосудов
Такие заболевания, как гипер- и гипотония, вегето-сосудистая дистония – также являются факторами, приводящими к появлению боли в темени. Из-за повышенного или пониженного тонуса сосудов, они не способны обеспечить необходимое давление крови, что приводит к спазмам или сдавливанию нервных клеток.
Диагностика боли в темени
Не стоит откладывать визит к специалисту, если наряду с сильными болевыми ощущениями в области темени наблюдаются следующие клинические проявления:
- усиление боли;
- нарушение зрения;
- ухудшение общего самочувствия;
- расстройство памяти;
- повышение общей температуры;
- тошнота, рвота.
Вы можете обратиться в клинику ЦЭЛТ, и наши специалисты помогут вам избавиться не только от болевых ощущений, но и от причин, их вызвавших. Для того чтобы стать нашим пациентом, не нужна столичная прописка — мы готовы помочь любому, кто столкнулся с проблемой.
Для того чтобы определить причину, вызывающую болевые ощущения, наши специалисты проводят:
При необходимости может быть назначен осмотр у офтальмолога или хирурга.
Лечение боли в темени
Одними из эффективных средств борьбы с головной болью являются анальгетики. Однако, не стоит забывать о том, что они не устраняют основную причину, вызвавшую подобную реакцию, а устраняют исключительно клинические проявления, и через какое-то время боль снова напомнит о себе.
Череп человека выполняет функцию сохранности основного органа человеческого тела–мозга, который является центральной нервной системой всего организма. Строение черепной коробки эволюционно обязано быть прочным, но гибким, в отношении передач данных от тела к мозгу.
Его кости имеют множество переплетений и лабиринтов, удерживающие органы связи с окружающей средой и достаточную прочность, чтобы обеспечивать максимальную протекцию от внешних механических воздействий. На фото с описанием в статье изображены крупные и малые участки черепа и их соотношение друг с другом.
Разновидности фронтита
Типы фронтита различаются в зависимости от путей проникновения инфекции, типа и время развития патологии.
Специалисты различают:
- Острый фронтит. Характеризуется внезапным возникновением воспалительного процесса, развитие – стремительное, окончание заболевания – полное.
- Хронический фронтит. Возникает как следствие плохо вылеченной острой формы заболевания; при нем длительные периоды обострения сменяются короткими паузами ослабления симптомов.
- Аллергический фронтит. Немедленная реакция на аллергены: частое чихание, зуд носа и глаз, повышения температуры может не быть или она невысокая;
- Вирусный фронтит. При воздействии вируса начинается быстрый подъем температуры, жалобы на боль в горле, чихание, появляется жидкая полупрозрачная слизь.
- Бактериальный фронтит. При бактериальной атаке температура поднимается, но медленно; больной не чихает, а слизь формируется густая, с характерным оттенком.
- Катаральный фронтит. Заявляет о себе тяжестью в лобной области, заложенностью носа; может не давать осложнений, а может перейти в более острую стадию.
- Гнойный фронтит. Образование и скопление гнойного содержимого в лобных пазухах пагубно влияет на состояние больного; возможна даже потеря сознания.
- Пневмосинус. Особая форма фронтита, которая характеризуется растяжением лобной пазухи; при этом воздух в пазуху поступает, но выхода для него нет. В этом случае воспаления может не быть, а боль в лобной части будет ощущаться.
Независимо от типа фронтита, он может затрагивать или одну пазуху (правую или левую) или быть двусторонним, когда в воспалительный процесс вовлечены обе пазухи.
Симптомы заболеваний, вероятные причины и методы устранения проблемы
Выпадение шерсти, точечное облысение – наблюдается при избытке или недостатке витаминов (гипервитаминоз или гиповитаминоз). Необходима консультация ветеринара, который правильно подберет витаминные подкормки.
Заметное резкое побеление передних зубов свидетельствует о недостатке витаминов в организме животного. Обратитесь за помощью к врачу, развитие гиповитаминоза опасно для жизни!
Дегу выгрызает на теле шерсть, жует хвост и лапки – присуще животным, испытывающим недостаток внимания и скуку (аутоагрессия). Этого можно избежать, уделяя питомцу больше времени или приобретя ему пару.
Облысение мордочки и лап – вероятнее всего зверек скучает в одиночестве и пытается выбраться из клетки, травмируя нежную кожу головы и конечностей. Приобретите ему пару.
Залысины на хвосте – причиной этого чаще всего являются укусы и травмы, наносимые самому себе, либо другим дегу. В данном случае необходимы осмотр и консультация ветеринарного врача.
Если у животного появились проплешины, а сама шерсть стала жирной и сальной, или наблюдается чрезмерное поредение и выпадение меха, то скорее всего у него имеются грибковые заболевания.
Микроспория заразна, поэтому необходимо вызвать ратолога на дом и назначить курс лечения. Для профилактики рекомендуется делать прививки от микроспории.
Рассыпчатый налет в ушах и беспокойство животного, пытающегося постоянно чесать уши говорят о наличии ушного клеща (отодектоза). Лечить самостоятельно заболевание трудно, поэтому лучше обратиться к доктору.
Белесое пятно возле зрачка (бельмо) – признак катаракты при сахарном диабете, которому подвержены дегу. Требуется срочное вмешательство ветеринарного врача, иначе могут появиться более тяжелые осложнения.
Запачканная фекалиями шерсть вокруг анального отверстия (вид слипшихся “сосулек”) – наличие поноса. Причиной этого чаще всего бывает при кормлении некачественным кормом, а также при излишней даче фруктов и овоще, вызывающих расстройство кишечника.
Для лечения диареи достаточно убрать на время из рациона все сочные корма. Однако, если понос продолжается 2-3 и более дней, а на фекалиях вы заметили примесь крови или слизи – срочно вызывайте специалиста.
Частый понос, не проходящий даже после коррекции рациона и наличие тусклой шерсти указывают на наличие кишечных паразитов.
Учитывая маленькие размеры животного и сложность лечения многих заболеваний, подбирать самостоятельно дозу антигельминтного средства опасно для жизни дегу! Лечением глистов у грызуна должен заниматься только ветеринар.
Выделения из глаз и носовых отверстий, неуверенная шаткая походка, вялое апатичное состояние, сонливость, отсутствие аппетита – такие симптомы бывают при развитии инфекционного заболевания. Даже если зверек не контактирует с другими животными и живет исключительно в клетке, заражение возможно через инфицированные предметы, укусы насекомых и воздушно-капельным путем.
Срочно отсадите больного питомца от остальных, продезинфицируйте общие миски, поилки, клетку, уничтожьте подстилку и немедленно вызывайте на дом ратолога. Любая инфекция опасна не только для больного животного, но и несет угрозу для здоровых питомцев.
Отсутствие фекалий несколько дней, затруднение при акте дефекации, неуклюжая походка указывают на наличие запора, а иногда и копростаза. Такое бывает при однообразном питании, нехватке сочных кормов и сена. Состояние требует немедленного вмешательства доктора.
Судороги, мелкая дрожь в лапках, нарушение координации и потеря сознания случаются при наличии таких тяжелых состояний, как: отравление, инсульт, черепно-мозговая травма или тяжелая форма стресса.
Самолечение может только усугубить тяжесть состояния и привести к летальному исходу, поэтому не теряя времени срочно обратитесь к ратологу за помощью.
Помните, здоровье питомца зависит от вас, а также сколько он проживет и какой будет его жизнь.




































