Результаты исследования
Здесь уместно отметить, что внутриутробный скрининг сегодня получил широкое распространение во всем мире. Такие мероприятия проводятся в детской многопрофильной поликлинике “Эдкарик”. Поэтому все женщины, проживающие в Калининграде, могут пройти обследование, направленное на выявление пороков сердца у будущего ребенка.
К слову сказать, по последним данным статистики их 48 плодов со сложными пороками в 40 случаях патология была выявлена именно во время перинатальной диагностики. Каждая женщина имеет право сама решить, стоит ли ей рожать ребенка с крайне плохим прогнозом для жизни.
Сложность данного метода диагностики заключается в том, что неправильное положение плода может помешать проведению скрининга. Также осложняет процедуру многоводие и большой срок беременности (свыше 35 недель). Но подобные помехи осложняют ультразвуковое исследование и других органов плода, а не только сердечно-сосудистой системы.
И последнее замечание, на которое следует обратить внимание: проходить обследование во время беременности стоит лишь в учреждениях, имеющих лицензию на осуществление услуг такого рода. Работа частного детского центра “Эдкарик” подкреплена наличием всем необходимым разрешительных документов. Поэтому заключениям, сделанным нашими специалистами, можно доверять
Поэтому заключениям, сделанным нашими специалистами, можно доверять.
В качестве итога
Дородовая диагностика — это передовой метод исследования. С его помощью удается выявить у плода не только тяжелые пороки сердца, но также целый ряд других несовместимых с жизнью заболеваний. Например, синдром Дауна и Эдвардса сегодня тоже диагностируют еще на этапе гестации. Специалисты калининградской детской поликлиники “Эдкарик” обладают необходимыми знаниями и опытом, чтобы на качественном уровне выполнить весь комплекс диагностических процедур. Кроме высокого профессионализма наших детских кардиологов наших клиентов порадует:
- внимательное отношение персонала;
- полное отсутствие очередей;
- доброжелательная атмосфера в клинике;
- комфортные условия во время прохождения всех процедур.
Ко всему перечисленному можно добавить еще один существенный плюс — это вполне демократичные цены на все виды услуг.
По каким причинам возникает ВПС
Стоит сразу уяснить, что сердечно-сосудистая система у малышей начинает формироваться на самых ранних сроках, с 10-й по 40-й день. Именно в этот период у плода начинают формироваться перегородки, камеры и магистральные сосуды. Часто на таких ранних сроках женщина еще не знает о своем положении, и именно в этот период считается самым опасным.
Медики часто связывают возникновение ВПС с тем, в какой период года рождается ребенок, что обычно связано с сезоном простуд и вирусов. Но далеко не все перенесенные вирусы могут негативно повлиять на сердечно-сосудистую систему. Чаще всего опасными считаются вирус простого герпеса, а также грипп. Очень пагубно влияет на развитие плода краснуха. Кроме того, очень пагубно влияют на формирующийся организм плода и следующие факторы:
- предрасположенность, передающаяся по наследству;
- проживание в регионе с плохой экологической ситуацией;
- работа на предприятии с плохими условиями труда (взаимодействие с различными химикатами, радиоактивным излучением и т.д.);
- наличие вредных привычек (у матерей, злоупотребляющих алкоголем, частота рождения детей с пороками сердца составляет от 30% до 50%);
- влияет на здоровье ребенка и возраст матери (если роды происходят после 35-ти лет);
- если в первом триместре женщина принимает определенные лекарственные препараты (антибиотики, гормональные средства, различные анальгетики и прочее);
- серьезные заболевания у родителей (например, сахарный диабет);
- если предыдущая беременность женщины закончилась мертворождением;
- при тяжёлом токсикозе.
Как работает сердце
Для того, чтобы понять, как проявляют себя врожденные заболевания сердца, необходимо разобраться в работе этого органа в целом. Как известно, сердце имеет два отдела, левый отдел перекачивает артериальную кровь (она насыщена кислородом и имеет ярко-алый цвет). Правый отдел сердца отвечает за перемещение венозной крови, которая насыщена углекислым газом и имеет темно-красный оттенок. Эти два вида крови никогда не смешиваются, так как в сердце есть специальная плотная перегородка, отделяющая один отдел от другого.
Таким образом, кровь циркулирует по организму человека по двум основным кругам – большому и малому:
- большой круг начинается с аорты, которая, в свою очередь, выходит из левого желудочка и разветвляется на множество артерий. По этим артериям обогащённая кислородом кровь поступает к тканям организма, отдает им кислород и забирает диоксид углерода и прочие продукты обмена. Таким образом, кровь превращается в венозную и поступает в правое предсердие;
- малый круг перегоняет кровь, посредством чего из организма уходит диоксид углерода, а вместо этого сама кровь насыщается оксигеном. Затем она попадает из правого предсердия в правый желудочек и переходит в легочный ствол, а уже там расходится по артериям легких, где и происходит газообмен. Таким образом кровь снова становится артериальной и поступает к левому отделу сердца.
Огромнейшую роль в работе сердца играют клапаны, которые разделяют предсердия и желудочки, также они находятся на входе и выходе крупных сосудов. На них ложится колоссальная нагрузка, поэтому они часто повреждаются и дают сбои в работе.
Online-консультации врачей
| Консультация ортопеда-травматолога |
| Консультация уролога |
| Консультация вертебролога |
| Консультация офтальмолога (окулиста) |
| Консультация проктолога |
| Консультация массажиста |
| Консультация эндокринолога |
| Консультация аллерголога |
| Консультация специалиста банка пуповинной крови |
| Консультация инфекциониста |
| Консультация сурдолога (аудиолога) |
| Консультация сосудистого хирурга |
| Консультация педиатра-аллерголога |
| Консультация диагноста (лабораторная, радиологическая, клиническая диагностика) |
| Консультация специалиста в области лечения стволовыми клетками |
Новости медицины
Футбольные фанаты находятся в смертельной опасности,
31.01.2020
“Умная перчатка” возвращает силу хвата жертвам травм и инсультов,
28.01.2020
Назван легкий способ укрепить здоровье,
20.01.2020
Топ-5 салонов массажа в Киеве по версии Покупон,
15.01.2020
Новости здравоохранения
Глава ВОЗ объявил пандемию COVID-19,
12.03.2020
Коронавирус атаковал уже более 100 стран, заразились почти 120 000 человек,
11.03.2020
Коронавирус атаковал 79 стран, число жертв приближается к 3200 человек,
04.03.2020
Новый коронавирус атаковал 48 стран мира, число жертв растет,
27.02.2020
Другие статьи
Алискандиев Алаудин Магомедович аллерголог-иммунолог
Что делать, если у ребёнка аллергия?
Аллергия у ребенка – это повышенная чувствительность организма к определенным веществам (аллергенам), которая проявляется необы… 14 февраля 2022
Гарунова Теране Магомедовна гастроэнтеролог
Превентивная медицина
Превентивная медицина – это более современное направление в медицине. Это медицина будущего, в которое мы уже вступили. Как изв… 4 февраля 2022
Куркина Надежда Германовна инфекционист, педиатр
Вакцинопрофилактика в Махачкале
Почему мы за профилактические прививки? Стоит ли делать прививки детям? Это вопросы, которые реально волнуют как детских врачей… 14 января 2022
Алиева Наида Рамазановна узи, узи внутренних органов, узи гинекологии
Гемангиома печени: симптомы, диагностика и лечение
Прежде всего, давайте разберёмся что же это такое – гемангиома? Так называется доброкачественное опухолевое образование сосудис… 11 января 2022
Общие сведения о пороках сердца у детей
Порок сердца – нарушение анатомического строения стенок или клапанов сердца, а также кровеносных сосудов, которые входят или выходят из него. Нарушаются сердечная функция и гемодинамика во всей кровеносной системе.

В зависимости от причин развития бывают врожденные и приобретенные пороки.
Считается, что врожденные появляются в период первых недель беременности во время «начальной закладки» будущей жизни. Достоверно причины развития пороков не изучены, однако предрасполагают к ним:
- генетические заболевания (50% детей с синдромом Дауна страдают этим нарушением);
- сахарный диабет у беременной;
- вредные привычки будущей мамы (половина детей с фетальным алкогольным синдромом (ФАС) имеют пороки сердца);
- инфекции (у мамы переболевшей краснухой в первый триместр почти всегда будет ребенок с тяжелой патологией);
- прием запрещенных для беременных лекарств;
- фенилкетонурия у будущей мамы.
Однако не всегда порок сердца развивается с рождения. Он может проявиться как осложнение перенесенных в детстве заболеваний (ревматизм, грипп, ангины) в тяжелых формах. Такое нарушение называется – приобретенный порок сердца.
Аневризма межпредсердной перегородки (АМПП)
Аневризма межпредсердной перегородки – еще один врожденный порок развития. Достаточно часто это состояние наблюдается у вполне здоровых детей: с возрастом образование самостоятельно исчезает. Однако, аневризма межпредсердной перегородки представляет существенную опасность в тех ситуациях, когда она сочетается с другими врожденными пороками сердца, а также не исчезает самостоятельно.
Аневризма межпредсердной перегородки по своей сути представляет выпячивание стенки предсердия в одну из сторон. Наиболее часто аневризма выпячивается в сторону открытого овального окна (или того места, где оно располагалось). Это связано с тем, что сердечная мышца в этом месте еще недостаточно прочная и легко деформируется под воздействием внешних факторов. Овальное окно – это необходимость для ребенка в период внутриутробного развития, так как кровеносная система функционирует особым образом. Легочное дыхание у ребенка в утробе матери отсутствует, поэтому овальное окно способствует равномерному распределению крови в правом и левом предсердии, большом и малом круге кровообращения. Так органы ребенка получают достаточное питание и кислород. Однако, после рождения большой и малый круг должны быть изолированы друг от друга. Это необходимо для того, чтобы венозная и артериальная кровь не смешивались.
Однако, во врачебной практике нередки случаи, когда овальное окно остается открытым длительное время (более 12 месяцев). Давление тока крови приводит к тому, что стенка миокарда деформируется и выпячивается. Аневризма образуется в «слабом» месте, именно по этой причине она чаще всего образуется в сочетании с другими сердечными пороками.
Аневризма межпредсердной перегородки классифицируется в зависимости от направления выпячивания:
- аневризма межпредсердной перегородки с выпячиванием в правое предсердие;
- аневризма межпредсердной перегородки с выпячиванием в левое предсердие;
- аневризма межпредсердной перегородки с S-образным выпячиванием (разные части перегородки выбухают в разные предсердия).
Прогноз считается благоприятным в том случае, если не происходит перераспределения тока крови в предсердиях. Если же в легочном стволе нарастает кровяное давление, то развивается легочная гипертензия.
Наиболее частыми причинами развития патологии являются:
- инфекционные заражения матери во время беременности;
- плохая экологическая обстановка;
- стрессы матери во время беременности;
- авитаминоз во время беременности;
- гипоксия плода.
Возможно ли развитие аневризмы межпредсердной перегородки у взрослых? Да, это одно из главных отличий этой патологии от других врожденных пороков сердца. Однако, это состояние все же крайне редко развивается у взрослых: только после перенесенного обширного инфаркта миокарда.
При отсутствии сочетания АМПП с другими пороками сердца существенные нарушения умственного и физического развития отсутствуют, а клинические симптомы выражены слабо. А вот при сочетании этой патологии с другими пороками могут наблюдаться такие проявления, как:
- тахикардия (повышение частоты сердечных сокращений);
- акроцианоз (синюшность кожи в носогубном треугольнике);
- одышка (у младенцев может наблюдаться при кормлении грудью);
- плаксивость, беспокойство младенца;
- нарушения сна.
В более старшем возрасте могут наблюдаться такие проявления, как:
- увеличение частоты сердечных сокращений;
- боль в груди в области сердца;
- повышенная утомляемость;
- ощущение слабости;
- головокружение;
- потеря аппетита;
- сонливость и др.
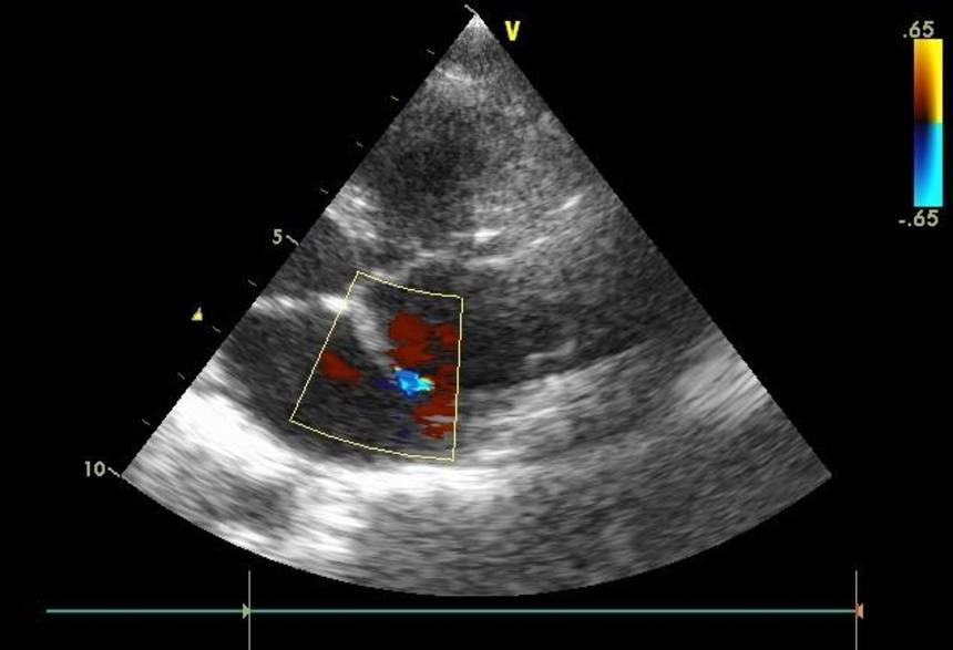
Основным способом выявления патологии у ребенка является УЗИ сердца. Альтернативное название манипуляции – ЭХО-кардиография. Данная процедура абсолютно безболезненна и безопасна, поэтому является методикой выбора при диагностике многих врожденных патологий сердца. Для того чтобы увеличить информативность исследования, необходимо использовать современные аппараты УЗИ, а прием должны вести опытные специалисты, которые способны заметить даже небольшие нарушения гемодинамики. Такой подход позволяет обеспечить достоверную диагностику патологий даже у самых маленьких пациентов.
Нетяжелые формы аневризмы межпредсердной перегородки чаще всего не требуют специального лечения. Однако, ребенок все же нуждается в регулярном наблюдении специалиста: следует посещать кардиолога не реже 1 раза в 12 месяцев, а также регулярно проходить УЗИ сердца.
Кроме того, детям рекомендуются легкие, незначительные физические нагрузки, а также психоэмоциональный покой. Ребенку необходимо обеспечить полноценное, рациональное питание, а также необходимый (по возрасту) сон. Кроме того, для детей с АМПП очень полезны сеансы психотерапии и аутотренинги.
Врожденный порок сердца
Примерно 1 ребенок из 100 рождается с врожденным пороком сердца. Врожденный порок сердца – результат нарушений эмбриогенеза.
Вот причины врожденных пороков сердца:
- генетические факторы: плохая наследственность, локальные генные изменения и хромосомные мутации;
- синдром Марфана;
- экологические факторы, или мутагены: ионизирующее излучение, нитраты, фенолы, избыточное употребление алкоголя, бензпирен у курильщиков, антибиотики, нестероидные противовоспалительные средства, пр.;
- болезни матери: краснуха, сахарный диабет, системная красная волчанка, катаракта, пр.
Врожденные пороки сердца делят на 2 группы: белые и синие.
При белых, или бледных, порока сердца, не происходит смешивание артериальной и венозной крови. К белым порокам относят: дефект межпредсердной перегородки, дефект межжелудочковой перегородки, АВ-коммуникацию, сужение (стеноз) легочной артерии, аортальный стеноз, коарктацию аорты, пр.
Белый порок сердца у новорожденных, как правило, ничем себя не проявляет. По мере взросления у детей с белыми пороками сердца появляются клинические симптомы: бледность кожи, повышенная утомляемость, одышка, отставание в физическом развитии.
Испытывая постоянные перегрузки сердечная мышца с годами изнашивается – сердечная недостаточность прогрессирует: появляются отеки ног, увеличивается печень, пр. Без операции продолжительность жизни у людей с белым пороком сокращается на 20-25 лет.
Следует подчеркнуть, что наличие белого врожденного пороки не всегда провоцирует хроническую сердечную недостаточность. Чтобы порок проявил себя, он должен быть гемодинамически значимым – дефект сердечной структуры должен быть весьма значительным. Например, дефект межпредсердной перегородки менее 1 см (гемодинамически незначимый) в большинстве случаев не проявляет себя в течение всей жизни.

При синих пороках сердца происходит смешивание артериальной и венозной крови. Примеры синих врожденных пороков сердца: комплекс Эйзенменгера, полная транспозиция магистральных сосудов, тетрада Фалло, аномалия Эбштейна, пр.
Типичный симптом синего порока сердца – голубовато-серый, или синюшный, цвет кожи (цианоз кожи)из-за дефицита кислорода в крови. Все синие пороки сердца гемодинамически значимые; цианоз кожи хорошо виден сразу после рождения ребенка.
Из-за выраженной гипоксии органов и тканей синие врожденные пороки сердца значительно опаснее белых пороков – без хирургической коррекции ребенок может умереть в первые дни и месяцы после рождения. Пациенты с синими пороками без операции живут на 30-50 лет меньше, чем здоровые люди.
Важнейшее условие сохранения здоровья и жизни ребенка с врожденным пороком сердца – своевременная диагностика и хирургическое устранение дефекта.
Врожденные пороки сердца диагностирует неонатолог (порок сердца у новорожденных), семейный врач, педиатр (порок сердца у детей), терапевт (врожденный порок сердца у взрослых), детский кардиолог, кардиолог, специалист по ультразвуковой диагностике, эндоваскулярный хирург, кардиохирург. Самый доступный, безопасный и при этом очень информативный инструментальный метод диагностики – ЭхоКГ с допплерографией. Для диагностики сложных врожденных пороков сердца применяют рентген контрастное исследование (вентрикулографию, ангиографию), КТ и МРТ, в том числе с контрастированием.
Врожденный порок сердца диагностируют не только после рождения, но и внутриутробно с помощью ЭхоКГ с допплерографией
Это важно при сложных и несовместимых с жизнью дефектах. В первом случае беременность и роды ведут с учетом наличия порока; планируют кардиохирургическое вмешательство в первые дни и месяцы жизни. При несовместимых с жизнью пороках предлагают искусственное прерывание беременности
При несовместимых с жизнью пороках предлагают искусственное прерывание беременности.
В последние десятилетия почти все врожденные пороки сердца успешно устраняют хирургическим путем. Применяют малоинвазивное вмешательство (эндоваскулярную процедуру) или большое открытое вмешательство, в том числе с использованием искусственного кровообращения. В последнем случае сердце останавливают и разрезают, обнажая дефект. При этом организм обеспечивают кровью и кислородом с помощью механического насоса.
Послеоперационная смертность при большинстве белых и синих пороков не превышает 1%. При сложных синих пороках, в частности, при полной транспозиции магистральных сосудов, послеоперационная смертность колеблется от 5% до 50% в зависимости от уровня кардиохирургического центра, в котором проводят оперативное вмешательство.
Лечение пороков сердца
Медикаментозное лечение пороков сердца, как правило, не считается эффективным. Поэтому терапия нацелена на антибактериальное лечение при остром ревматизме, устранение проявлений хронической ревматической болезни сердца, сердечной недостаточности и других тяжелых осложнений. Единственно верным способом лечения пороков сердца на сегодняшний день считается хирургическая операция.
Хирургические методы лечения пороков сердца:
- протезирование клапана – при тяжелой недостаточности и тяжелом стенозе клапана дефектный клапан заменяют искусственным (существуют механические и биологические протезы клапанов сердца);
- имплантирование нескольких протезов клапанов сердца – при сочетанных и комбинированных пороках;
- закрытие дефекта межпредсердной/межжелудочковой перегородки – наложение шва или заплаты из искусственного материала;
- перевязка открытого артериального протока;
- рентгенохирургические, транскатетерные операции на работающем сердце (закрытие дефекта перегородок амплацером, транскатетерная имплантация аортального клапана – TAVI, наложение клипсы на створки митрального клапана при тяжелой недостаточности митрального клапана, закрытие открытого артериального протока и др.).
В нашей клинике вы можете пройти диагностику и лечение пороков сердца. Также наши врачи-кардиологи сведущи в амбулаторном ведении больных с пороками сердца и в амбулаторном ведении больных с протезами клапанов сердца.
Всё необходимое для высокоточной диагностики пороков сердца и других заболеваний сердца и сосудов есть в распоряжении отделения кардиологии клиники «МедикСити». Вы можете пройти полное обследование сердца и сосудов – ЭКГ, УЗИ сердца, велоэргометрию, суточное мониторирование артериального давления и ЭКГ на 12-канальном холтере – в удобное время по предварительной записи.
В штате нашей клиники – только опытные специалисты с серьезной научной подготовкой и многолетней врачебной практикой!
Материал подготовлен при участии специалиста:
Найти ближайшую к вам клинику
Детская поликлиника
400074 г. Волгоград, ул. Козловская, 33
понедельник-пятница с 8.00 до 20.00
суббота с 09.00 до 18.00
воскресенье c 9.00 до 14.00
Клиника на Невской
400087, г. Волгоград, ул. Невская, 13а
понедельник-пятница
с 08.00 до 12.00 медицинские осмотры;
с 12.00 до 18.00 оформление справок;
с 14.00 до 16.00 выдача заключений
суббота – с 09.00 до 14.00
воскресенье-выходной
Клиника на Ангарской
400049 г. Волгоград, ул. Ангарская, 13л
понедельник-пятница с 08.00 до 20.00 )
суббота-воскресенье с 08.00 до 20.00
Клиника на Кубанской
400131 г. Волгоград, ул. Кубанская, 15а
понедельник-пятница с 7.00 до 20.00
суббота с 07.30 до 19.00
воскресенье с 08.00 до 18.00
Классификация
Классификация сердечных патологий осуществляется с учетом многих параметров, поскольку сердце является сложным органом для изучения. Выделяют основные виды порока сердца: врожденные (ВПС) и приобретенные (ППС).
Врожденные
Классификация патологий врожденной природы разделяет их на виды, зависимо от воздействия на развитие ребенка. К сожалению, в последние годы частота ВПС у грудных и недоношенных детей увеличивается, а анатомические особенности заболевания модифицируются.
Согласно самому простому и информативному разделению, ВПС у детей бывают 3 разновидностей:
- белые;
- синие;
- ВПС, при которых оттоку крови препятствуют блокировки.
Белого типа
ВПС белого типа проявляется бледностью кожных покровов. Характеризуется выбросом крови из артериального кровотока в венозный. Белый ВПС являются открытым артериальным протоком и определяется присутствием изолированных повреждений аорты, перегородки.
Синего типа
Пороки синего типа (синие ВПС) визуально отличаются синюшностью кожи (стойким цианозом). Классификация синих ВПС выделяет такие патологии:
- транспозиция магистральных сосудов (процесс, при котором аорта отходит от правого желудочка, а легочная артерия наоборот – от левого);
- триада Фалло (совокупность нескольких расстройств: сужения легочной артерии, дефекта межжелудочковой перегородки, порока аорты и правого желудочка);
- атрезия правого венозного устья, легочной артерии, аорты.
ВПС с блокировками при оттоке крови
Врожденный порок с блокировками является разновидностью патологии, последствием затруднения правильного выброса крови из желудочков. Группа заболеваний включает в себя:
- стеноз – зачастую такое заболевание проявляется сужением аорты в области клапана;
- коарктация аорты – патология, сопровождающаяся сужением или полным закрытием просвета в ограниченной зоне;
- стеноз легочного ствола – расстройство, при котором происходит сужение выносящего тракта правого желудочка, провоцирующее барьеры оттока крови из него в легочную артерию.
Приобретенные

Основные причины развития ППС у детей:
- ревматические эндокардиты;
- диффузное заболевание соединительной ткани;
- инфекционный эндокардит с поражением клапанов;
- в некоторых случаях – травма грудной клетки.
Приобретенные пороки у детей и подростков характеризуются постоянными переменами в структуре сердечных отделов. Первые изменения осуществляются после рождения ребенка, вызывают разлаженность функционирования сердца. В медицинской практике по-разному классифицируют приобретенные пороки сердца.
По происхождению:
- ревматические;
- сифилитические;
- атеросклеротические;
- травматические и др.
По степени выраженности порока:
- пороки без значительного воздействия на внутрисердечную гемодинамику;
- пороки с умеренной или резкой степенью выраженности.
По состоянию общей гемодинамики порок бывает:
- компенсированный;
- субкомпенсированный;
- декомпенсированный.
Также существуют классификации по локализации порока сердца и функциональной форме.




































