Особенности проведения процедуры
Скрининг проводится с использованием специального оборудования и аудиограммы. За результатами внимательно наблюдает специалист. Диагноз представлен в виде графика, на котором изображена реакция организма крохи на внешние изменения. Он используется для выявления существующих слуховых потерь. На основании их анализа для прошедших детей подбирается необходимый курс лечения.
Процедура необходима для того, чтобы понять, как ребенок может слышать не только громкие, но и тихие звуки
При этом во внимание также берутся высокочастотные сигналы
Только профессионал может правильно интерпретировать полученные результаты. На графике будет видна реакция организма на тихое воздействие. В момент проведения обследования воспроизводятся звуки разной частоты. Благодаря этому удается сформировать четкую картину слышимости новорожденного ребенка.
В процессе проведения скрининга измерение звука производится в децибелах, а его частота в герцах. Эти единицы в полной мере могут обрисовать картину порога слуха новорожденного. Любое патологическое состояние имеет свой характер и степень проявления. Для этого используются кривые на графике, которые в определенной точке должны пересечься между собой. Анализ производится в сравнении с нормальными показателями. Если результат не соответствует им, то целесообразно провести дополнительное исследование в данной области.
Скрининг аудиологического характера – метод определения степени потери слуха. Врач видит полную картину развития патологии. Обследование целесообразно проводить сразу после появления малыша на свет. В таком случае будет достаточно времени на устранение заболевания.
Исследование проводится в два этапа, каждый из которых важен для постановки правильного диагноза:
- Регистрация откликов слуховой системы на действие аппарата, который работает на основе эмиссии.
- Если на первом этапе были выявлены патологии, то обследование необходимо продолжать. В противном случае ситуация может привести к ухудшению остроты или полной потери слуха.
Скрининг – уникальная процедура, которая позволяет определить нарушения различного характера. Еще совсем недавно для этой цели не использовались никакие устройства. Диагностика заключалась в том, чтобы внимательно следить за поведением ребенка в определенной ситуации. Малыш должен реагировать по-своему на звуки различной интенсивности и частоты. Среди самых информативных методов первое место занимает именно аудиоскрининг. Проведение процедуры полностью безопасно для грудника и не может вызвать осложнений.
Аудиологический скрининг новорожденных
Для раннего выявления дефектов слуха проводится аудиологический скрининг новорожденных. Он может выполняться уже на второй или третий день жизни. Неонатальный аудиологический скрининг – это возможность вовремя диагностировать проблему и предпринять необходимые меры, которые помогут малышу выучить язык и адаптироваться в обществе.
Как правило, аудиометрия и скрининг новорожденных проводятся в роддомах. Но не всегда у их сотрудников достаточно квалификации, чтобы провести такое обследование на высоком профессиональном уровне. И не во всех роддомах есть современное оборудование. К тому же нередко требуется повторная аудиометрия уха новорожденного.
Центр «Мелфон» предлагает медицинские услуги высокого качества. Наши специалисты готовы сделать скрининг новорожденных, используя передовые методики, позволяющие получить точные и достоверные данные.
Статистические данные говорят о том, что врожденные нарушения слуха встречаются у одного ребенка на тысячу новорожденных
Но почему аудиометрия необходима в столь раннем возрасте? Почему так важно вовремя диагностировать патологию? Слух имеет определяющее значение в развитии ребенка, поскольку благодаря ему он получает основной объем информации
Зачем проводится неонатальный и аудиологический скрининг новорожденных?
Здоровью малыша необходимо уделять немало внимания еще и потому, что он не в состоянии сам объяснить, что с ним не так. Родители тоже не могут понять, все ли в порядке с состоянием его ушей, или необходима помощь специалиста. Только аудиометрия, которую проводит опытный врач, может дать объективную информацию.
Важность проведения обследования объясняется несколькими факторами:
- первые 6 месяцев жизни новорожденного являются критическим периодом для развития речи ребенка;
- мозг малыша еще во время внутриутробного развития формирует слуховые стимулы, которые он получает из окружающей среды;
- чем раньше будут проведены скрининговая аудиометрия и коррекция слуха, тем больше шансов, что ребенок научится правильно говорить.
Своевременно проведенное обследование позволяет:
- выявить нарушения слуха;
- определить их причину;
- найти оптимальный вариант их коррекции – лечение, реабилитация или слухопротезирование.
Например, статистика показала, что, если аудиометрия выявила 3-4 степень тугоухости у ребенка в возрасте до 6 месяцев, и была проведена оперативная коррекция слуховым аппаратом, то по речевому и языковому развитию, в том числе по накоплению пассивного и активного словаря и овладение грамматической системой родного языка, он не отличается от нормальнослышащих детей.
Тег video не поддерживается вашим браузером. Скачайте видео.
Как проводится неонатальный аудиологический скрининг?
Есть несколько эффективных методов, которые объединяются общим термином «аудиометрия». В первую очередь применяются:
- отоакустическая эмиссия (ОАЭ);
- регистрация коротколатентных слуховых вызванных потенциалов (КСПВ).
Такая аудиометрия представляет собой комплекс методов, которые не только имеют высокую точность, но и являются безболезненными и не вызывают у ребенка дискомфорта. Аудиологическое обследование с использованием современного оборудования может проводиться, даже когда ребенок спит, а в ряде случаев прямо рекомендуется проводить скрининг уха именно у спящего малыша.
Аудиометрия в центре «Мелфон»
Центр «Мелфон» оказывает услуги по диагностике слуха пациентам любого возраста, в том числе малышам, недавно появившимся на свет. Если вы ищете, где можно пройти аудиологическое обследование, обращайтесь к нам. Опытные специалисты проведут качественный скрининг, ведь благодаря надлежащей медицинской помощи можно обеспечить гармоничное развитие ребенка.
Обследование уха новорожденного по предварительной записи можно пройти в центре «Мелфон» по адресу: м. Калужская, ул. Профсоюзная, д. 78, стр. 1
c 19.12.19 исследование временно проводится только в Мелфон-Балашиха (5 мин от МКАД), прием каждый будний день, оперативная запись.
Записаться на скрининг новорожденных можно:
ЗАПИСАТЬСЯ НА ПРИЁМ ОНЛАЙН
- по электронной почте info@melfon.ru;
- по телефону: +7 (495) 150-63-00.
Стоимость обследования – 1500 руб.
Что еще нужно знать про аудиологический скрининг
Найти результаты аудиоскрининга можно в истории родов, развития новорожденного (истории болезни), справке о выписке. Если в документах новорожденного не нашли информацию о проводимом аудиологическом скрининге, то его сделают в детской поликлинике при поступлении.
Врач-неонатолог обязательно должен сказать матери, каковы результаты диагностики. Если аудиоскрининг не проводился, то специалист также должен поставить родителя в известность.
4 степени тугоухости
В зависимости от фактора, который провоцирует нарушения слуха, существует 4 степени тугоухости. Каждой из них свойственны определенные симптомы.
- Малыш хорошо слышит звуки и голоса рядом с собой. Но шум вдалеке не слышит, а поэтому никак на него не реагирует.
- Младенец различает голоса взрослых на расстоянии не более 4 метров, а шепот не дальше 1 метра.
- Ребенок не слышит шепот, а громкую речь распознает не дальше 2 метров от себя.
- 4 степень тугоухости самая сложная. Малыш абсолютно не проявляет реакцию на шепот. Он не различает громкий разговор даже вблизи.
Если у ребенка обнаружили нарушения слуха, и это подтвердилось дважды, то специалист подскажет, что делать дальше. В современном мире детки с тугоухостью могут жить полноценной жизнью. Придерживайтесь рекомендаций специалиста. В зависимости от степени тугоухости и ее причины будет составлено подходящее для ребенка лечение, либо советы, которые помогут ему чувствовать себя комфортно.
Для чего нужен аудиологический скрининг
С 2008 года в России каждому младенцу положено проводить аудиологический скрининг, позволяющий своевременно выявить у малыша проблемы со слухом. Нарушения в работе органов сенсорного восприятия окружающей новорожденного действительности существенно снижают темп его развития и являются результатом врожденных патологий, инфекционных воспалений или родовой травмы.
Такое диагностическое обследование безопасно для здоровья новорожденного и проводится всем детям либо сразу в роддоме (или акушерском стационаре), либо в детской поликлинике по месту жительства родителей младенца.
Результаты скрининга заносятся в персональную медицинскую карту.
Если по каким-то причинам такая диагностика не была выполнена в родильном отделении сразу после появления малыша на свет, то врач делает ее в амбулаторных условиях в медицинском учреждении, к которому прикрепляется ребенок по месту проживания.
логический скрининг новорожденных: что это такое и для чего делают
Органы слуха играют ключевую роль в формировании нормальных речевых навыков у малыша и жизненно важных центров головного мозга. Современная высокотехнологичная медицина способна вылечить тугоухость, если квалифицированная врачебная помощь начинает оказываться в первые шесть месяцев жизни младенца. Для этого уже в роддоме новорожденным делают скрининг.
Первичную диагностику звуковоспринимающего аппарата необходимо провести в первые три месяца жизни грудничка.
Ее результаты позволят установить особенности развития слуха у ребенка и, в случае необходимости, помогут не только правильно подобрать методики лечения диагностированного недуга, но и предотвратить возникающие в результате таких нарушений отклонения в развитии.
Противопоказаний к проведению данной формы диагностики нет.
Результаты аудиологического скрининга новорожденных
Полученный результат проверки звуковоспринимающего аппарата у новорожденного позволяет вовремя выявить наличие у него патологий в работе слухового отдела мозга
Это особенно важно при наличии угрозы повторения у ребенка аналогичных заболеваний родителей, способных передаваться по наследству
логическая аппаратура автоматически выдает ответ о результатах прохождения ребенком тестирования. Информация выдается на табло и содержит два варианта ответов:
- «Pass» (в переводе – «прошел») – ребенок здоров;
- «Refer» (в переводе – «обращаться, направлять») – отрицательный или сомнительный результат. Требуется дообследование.
Аппаратура дает возможность по полученному результату сразу оценить состояние слухового ствола головного мозга младенца и, в случае отклонений в его работе, назначить ему дополнительные методики коррекции функционирования органа слуха.
Особенности аудиоскрининга у недоношенных
У таких младенцев сроки проведения первой диагностики переносятся из-за особенностей их развития и физиологической незрелости.
Глубоко недоношенным детям, имевшим подозрения на наличие врожденных патологий, процедуру необходимо проводить на период между 2-й и 6-й неделями после их появления на свет.
При преждевременном рождении малыша на 7-м или 8-м месяце протекания беременности аудиоскрининг делается на 14-й день после рождения недоношенного грудничка.
Следующее обязательное обследование делают ближе к 3-му месяцу жизни таких младенцев, как и детям, рожденным после 260-го дня пребывания в утробе.
Дополнительные методы проверки, если новорожденный не прошел тест на слух
Отсутствие реакции на звуки у грудничка может быть вызвано воспалительными процессами в среднем ухе или центрах мозга, ответственных за слуховое восприятие. Своевременное обнаружение причин тугоухости у новорожденного поможет правильно подобрать для него лечение.
Если аудиологический скрининг у новорожденных показал положительный результат «Refer», врач может назначить дополнительные методики исследования, например анализ крови или диагностики, выявляющие нарушение метаболизма в детском организме.
скрининг позволяет не только лечить тугоухость и проводить коррекцию органов слуха, но и помогать малышу в развитии речевого аппарата. Детям с такими проблемами подбирается не только подходящая терапия, но и сурдологический детский сад для полноценного развития.
Расшифровка результатов
Результат Refer означает, что прибор не выявил колебаний волосковых клеток, из чего следует, что есть нарушения слуха. Ребенок с таким результатом должен получить направление к специалисту сурдологу для дальнейшей коррекции слуха, но паниковать в любом случае не стоит – результат «Подлежит направлению» не обязательно значит, что у ребенка тугоухость или другие проблемы со слухом.
Часто случается так, что при повторном обследовании никакие патологии не обнаруживаются. Врачи объясняют это по-разному, нередко отрицательный результат при первом аудиологическом скрининге может возникнуть из-за родильных масс, которые еще не успели выйти из ушных проходов малыша или по ряду других причин.
После проведения процедуры скрининга система тестирования выдает один из двух вариантов ответа: «прошел»/«не прошел». Если у ребенка результат «не прошел», его направляют на повторное тестирование в поликлинику по месту жительства, желательно не позднее 30 дней после первого обследования.
При получении повторного результата «не прошел» малыш направляется уже в сурдоцентр на второй этап обследования, целью которого является постановка диагноза и оценка степени снижения слуха.
Современные аудиометры оборудованы экраном, на который выводятся результаты скрининга. Если все показатели в норме, на экране появляется надпись «Pass», выявлены нарушения — «Reffer». Конечно же, выводы, сделанные аудиометром, не являются диагнозом.
Этот метод диагностики считается первичным, то есть его результаты требуют подтверждения или опровержения при дополнительном обследовании. Повторное исследование функциональности слуховой системы проводится через несколько дней после выписки из роддома в детской поликлинике.
При неудовлетворительных результатах малыша направляют в региональный центр слуха, где проводится более углубленная диагностика. Консультация отоларинголога-сурдолога и вторичное обследование необходимы также детям, которые находятся в зоне повышенного риска — родившимся раньше срока, с патологически маленьким весом или наследственной предрасположенностью.
Результаты аудиологического скрининга сразу отображаются на мониторе прибора. Результат Refer говорит о том, что в ходе теста не было выявлено колебаний волосковых клеток, что в свою очередь свидетельствует о нарушении слуха. Если получен подобный результат, ребенка направляют на дальнейшее обследование к сурдологу. Однако родителям следует помнить, что такой результат не является подтверждением того, что у ребенка тугоухость или другая проблема.
Нередко случается, что повторное обследование детей, которые уже прошли аудиологический скрининг, дает положительный результат, то есть присутствие патологии не подтверждается. Разные специалисты объясняют такую ситуацию по-разному. Нередко первое исследование дает отрицательный результат из-за того, что из ушных проходов малыша еще не полностью вышли родильные массы.
Если аудиологический скрининг дважды дает отрицательный результат, ребенку показан осмотр у отоларинголога, который даст направление на расширенное обследование в сурдологическом центре. Сделать это лучше до того, как малышу исполнится 3 месяца.
Если результаты скрининга сомнительны, в роддоме выявили отклонения, что делать дальше? Прежде всего, повторно проходится первый этап — такое же обследование врачом уже в поликлинике. Если повторные результаты скрининга (регистрация ОАЭ) снова положительные, педиатр направит родителей с малышом в сурдологический кабинет или центры слуха, где проведут второй этап, более прицельные и глубокие исследования.
Вопрос-ответ:
Какие заболевания обычно выявляются при неонатальном скрининге?
Неонатальный скрининг позволяет выявлять различные заболевания, такие как Фенилкетонурия, муковисцидоз, гипотиреоз, аспартаминазная кислотурия, галактоземия и другие нарушения метаболизма. Без своевременного обнаружения и лечения эти заболевания могут привести к серьезным последствиям для здоровья малыша.
Как проходит неонатальный скрининг?
Неонатальный скрининг проводят на третий-пятый день жизни ребенка. Для этого берут кровь из пяточки. Анализы отправляют в лабораторию, где определяют содержание определенных веществ в крови. Если показатель превышает норму, то малыша направляют на дополнительное обследование.
Насколько надежен неонатальный скрининг?
Неонатальный скрининг имеет высокую точность. Однако нельзя исключить ложноположительные и ложноотрицательные результаты. Ошибки могут быть связаны с особенностями проведения анализа, наличием факторов, влияющих на содержание веществ в крови (например, прием лекарств), а также с генетическими особенностями малыша. Поэтому при выявлении отклонений малыша отправляют на повторное обследование и дополнительные анализы.
Вреден ли неонатальный скрининг для здоровья малыша?
Неонатальный скрининг не имеет негативного влияния на здоровье малыша. Все необходимые меры предпринимаются для того, чтобы собрать кровь максимально безболезненно и безопасно для ребенка. Анализ проводят единожды, и после этого малышу уже не придется его проходить.
Кто может пройти неонатальный скрининг?
Неонатальный скрининг рекомендуется пройти всем новорожденным. Он позволяет выявить заболевания на ранних стадиях, когда еще нет явных симптомов. Это позволяет начать лечение на ранней стадии и минимизировать риски для здоровья малыша.
Как часто нужно проходить неонатальный скрининг?
Неонатальный скрининг проводят всего один раз, на третий-пятый день жизни ребенка. Однако в некоторых случаях может потребоваться провести дополнительное обследование и анализы. Если малыш родился преждевременно или с низким весом, или у него есть наследственная предрасположенность к определенным заболеваниям, то возможно потребуется чаще проходить обследования и анализы.
Неонатальный скрининг новорожденных
По рекомендации Всемирной организации здравоохранения (ВОЗ) в России такая процедура практикуется уже 15 лет, инициатором выступает государство. повышает шансы на благоприятный исход.
Когда проводят
Скрининг следует выполнить в первые дни жизни, чтобы он не доставил малышу дискомфорта и чтобы выявить все патологии максимально своевременно. Слишком рано (1-3 день) процедуру не проводят ввиду высокого риска получить ложноположительный или ложноотрицательный результат, но и позже 10-го дня тоже нежелательно брать кровь на анализ. Точные сроки неонатального скрининга:
- Доношенным детям показан анализ на 4-ый день.
- Недоношенным назначают на 7-10 сутки.
Кровь берут в роддоме, но если маму с новорожденным выписали рано (на 3-ий день), можно сделать это в поликлинике или дома (выезжает медсестра). Не исключено и проведение скрининга в стационаре (для больных, недоношенных младенцев). Если ребенок не прошел процедуру, педиатр должен рассказать родителям, где и как ее можно сделать. При желании можно отказаться от неонатального скрининга новорожденных: для этого следует написать специальное заявление в медицинском учреждении, где вам будет предложено данное исследование.
Как подготовить ребенка
При проведении неонатального скрининга новорожденного осуществляется забор периферийной крови из пятки или пуповины, в редких случаях (по отдельным показаниям) – из вены. Если исследование назначили грудничку возрастом 3 месяца и старше, кровь берут из пальца. Желательно проводить анализ натощак (утром), либо покормить малыша последний раз за 3 часа до скрининга. Перед забором крови ножку моют с мылом, обрабатывают спиртом и протирают насухо.
Аудиологический скрининг во Владивостоке – мы проверим слух вашего малыша
К сожалению, определять, слышит ли малыш, еще находящийся в утробе матери, врачи пока не научились. Но методы, позволяющие практически сразу после рождения точно сказать, слышит ли младенец, существуют. В некоторых развитых странах всех новорожденных обследуют на предмет снижения слуха. Такое поголовное обследование называется скрининг.
Аудиологический скрининг (оценка состояния слуховой функции) – одно из важных обследований, обязательно проводимых в первые месяцы жизни ребенка. В результате этого обследования выявляются в ранние сроки дети с нарушением слуха.
Это объективный метод диагностики, то есть не зависящий от реакции ребенка, поэтому он может применяться для исследования слуха самых маленьких детей, в том числе новорожденных. Он позволяет оценить состояние волосковых клеток, то есть проверяет, как функционирует улитка внутреннего уха. Это абсолютно безвредная и безболезненная процедура. В случае отклонений от нормы используются прочие методы для уточнения диагноза, определения степени тугоухости и т.д.
К сожалению, практика скрининга слуха всех новорожденных в нашей стране пока отсутствует. Не всегда качественно проводится диагностика в родильном доме.
Врачи настоятельно рекомендуют проводить аудиологический скрининг всем малышам для выявления снижения слуха на ранних стадиях и своевременного принятия мер. Ведь слуховое и общее умственное развитие тесно связаны. Если ребенок не слышит, снижается мозговая активность, слуховой и речевой центры его мозга не получают информации и не могут нормально развиваться. Как следствие – страдают интеллект и речь.
И, конечно же, обязательно обратить внимание, если в анамнезе мамы и малыша имеются какие-либо возможные причины нарушений слуха, и особенно – если в семье были или есть случаи тугоухости, родителям стоит самим проявить инициативу и как можно раньше обратиться к специалистам для проведения полного и всестороннего обследования слуха ребенка
Компания АудиоСлух напоминает вам о важности своевременного выявления проблемы снижения слуха. В нашем центре слуха мы проводим аудиологический скрининг новорожденных, малышей до года и старше на современном оборудовании Interacoustics OtoRead
В нашем центре слуха мы проводим аудиологический скрининг новорожденных, малышей до года и старше на современном оборудовании Interacoustics OtoRead
Компания АудиоСлух напоминает вам о важности своевременного выявления проблемы снижения слуха. В нашем центре слуха мы проводим аудиологический скрининг новорожденных, малышей до года и старше на современном оборудовании Interacoustics OtoRead. Подобная диагностика позволяет оценить наличие или отсутствие проблемы снижения слуха у малыша
Подобная диагностика позволяет оценить наличие или отсутствие проблемы снижения слуха у малыша.
Звоните и записывайтесь на приём к сурдологу-отоларингологу. Позаботьтесь о будущем вашего ребенка!
Возникли вопросы?
Я помогу Вам ответить на них! Наши высококвалифицированные специалисты помогут подобрать подходящие слуховые аппараты для пожилых людей, детей и взрослых, ведущих активный образ жизни. Отправьте заявку на сайте или напишите в онлайн-консультант.
Что оценивается при УЗИ в 1 триместре
1. Копчико-теменной размер (КТР) плода
Этот показатель точно определяет срок гестации (беременности), особенно в случае, если женщина не помнит 1-й день последней менструации, либо если менструальный цикл у нее не регулярный. В заключении срок беременности выставляется по КТР плода, а не по дате последней менструации.

Правильное измерение КТР плода
2. Маркеры хромосомной патологии:
– толщина воротникового пространства (ТВП) – является основным признаком хромосомной патологии у плода. Патологической величиной считается увеличение ТВП больше 95-й процентили для каждого срока гестации. Каждое увеличение ТВП повышает риск существования хромосомной аномалии у плода.


ТВП в норме ТВР при патологии
Важно понимать, что увеличение ТВП – это признак (маркер), но не точная диагностика хромосомных аномалий у плода. Определить наличие синдрома Дауна и других заболеваний у будущего ребенка позволяет только инвазивная диагностика с последующим генетическим анализом.
– носовая кость
У плодов с синдромом Дауна носовая кость может отсутствовать, либо быть уменьшенной (гипоплазированной). Очень редко такое может встречаться и у совершенно здоровых детей. Точный диагноз устанавливается только при помощи генетического анализа.
– носовая кость. У плодов с синдромом Дауна носовая кость может отсутствовать, либо быть уменьшенной (гипоплазированной). Очень редко такое может встречаться и у совершенно здоровых детей. Точный диагноз устанавливается только при помощи генетического анализа.

Нормальная носовая кость Отсутствие носовой кости
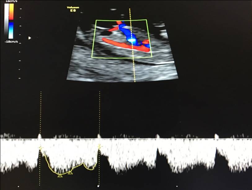
– кровоток в венозном протоке – это маленький сосуд в печени плода. При обратном (ретроградном) токе крови в данном сосуде можно предположить, что у плода хромосомный синдром, либо врожденный порок сердца.

Нормальный кровоток в венозном протоке
Но важно правильно получить этот кровоток и дать ему оценку. Для этого требуются определенные навыки и квалификация врача, которые подтверждаются ежегодной сертификацией FMF.
– кровоток через трикуспидальный клапан в сердце плода
Здесь ретроградный (обратный) кровоток тоже указывает на хромосомную патологию, либо может проявляться при врожденных пороках сердца.
– кровоток через трикуспидальный клапан в сердце плода. Здесь ретроградный (обратный) кровоток тоже указывает на хромосомную патологию, либо может проявляться при врожденных пороках сердца.

Ручка плода Мозг плода в виде “бабочки” в норме
Если скрининг выявил генетическую болезнь, что будет дальше?
Следует помнить, что положительный результат первоначального теста не всегда означает наличие болезни. При подозрении на какое-либо заболевание семью вызовут на дальнейшее обследование — подтверждающую диагностику, включающую более сложные лабораторные тесты.
Подтверждающая диагностика важна для выбора правильной тактики лечения. По результатам подтверждающей диагностики проводится медико-генетическое консультирование и выдается заключение. Сроки проведения подтверждающей диагностики – 10 дней, но в некоторых случаях проведение лабораторной диагностики может занять больше времени. При некоторых заболеваниях лечение может быть начато до получения результатов подтверждающих тестов.
источник текста: https://www.u-mama.ru/read/waiting/10733-rasshirennyy-neonatalnyy-skrining-novorojdennyh—chto-menyaetsya-v-2023-godu.html
источник фото: etsgophotos.ru




![Аудиологический скрининг новорожденных[как проводится]](https://detivmagazine.ru/wp-content/uploads/f/9/8/f98d2a8386977effbb98b795b1a9106c.jpeg)
































